Kirurgi for stramt leppebånd
Løs problemet med stramt leppebånd på dagen med enkel kirurgi

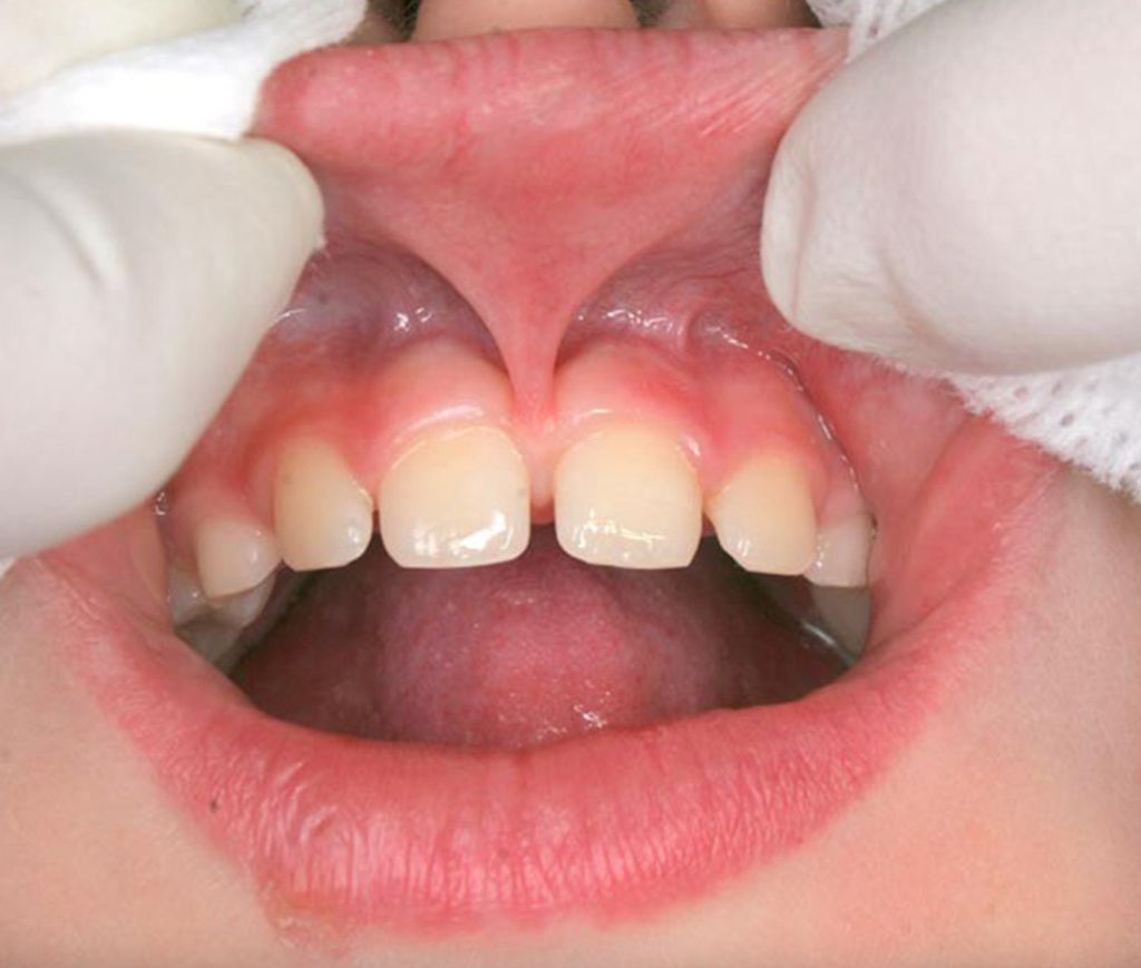
Hva er stramt leppebånd?
Stramt leppebånd oppstår når bindevevet som fester overleppen eller underleppen til tannkjøttet er for kort eller stramt. Dette kan begrense leppens bevegelighet og skape både funksjonelle og estetiske utfordringer. Tilstanden omtales også som
ankyloglossia labii eller leppebåndsproblemer, og kan ramme både barn og voksne. Merk at vi er en privat tannklinikk og ikke utfører denne behandlingen på barn.
Et stramt leppebånd kan føre til at leppen trekker seg opp når man smiler, at mellomrommet mellom fortennene ikke lukker seg, eller at barn strever med amming. Hos Tannlegene på Sinsen har vi erfaring med å diagnostisere og behandle stramt leppebånd på en trygg og effektiv måte. Sørg for å bestille time hos tannlege Nedd, da han er vår mest erfarne tannlege på dette området og utfører denne behandlingen jevnlig. Merk at vi ikke utfører behandlingen på barn. Behandlingen koster NOK 3990,-.
Symptomer på stramt leppebånd hos barn og voksne
Et stramt leppebånd kan vise seg på ulike måter, avhengig av alder:
- Hos spedbarn: Vansker med amming, dårlig sugetak, og utilstrekkelig næringsinntak.
- Hos barn: Mellomrom mellom fortennene, problemer med uttale og vansker med å bevege leppen normalt.
- Hos voksne: Estetiske utfordringer ved smil, stramhetsfølelse i leppen, tannkjøttproblemer på grunn av trekk fra leppebåndet.
Mange oppdager ikke at plagene skyldes et stramt leppebånd før en tannlege påpeker det under en undersøkelse.
Konsekvenser ved ubehandlet stramt leppebånd
Ubehandlet kan et stramt leppebånd gi flere problemer:
- Ammingsvansker hos spedbarn, noe som kan påvirke barnets utvikling
- Tannstillingsproblemer, ofte med mellomrom mellom fortennene
- Tannkjøttproblemer som økt risiko for betennelse eller tilbaketrekning
- Estetiske plager som kan påvirke selvtilliten
Jo tidligere problemet avdekkes, desto enklere kan det behandles.
Behandling av stramt leppebånd – en enkel rutine
Behandlingen kalles ofte
leppebåndsklipp eller frenektomi. Dette er et kort, skånsomt inngrep som utføres regelmessig hos
Tannlegene på Sinsen. Prosessen er som regel slik:
- Undersøkelse – vi vurderer leppebåndets stramhet og konsekvenser.
- Bedøvelse – området bedøves lokalt for smertefri behandling.
- Klipp – leppebåndet frigjøres med et presist snitt.
- Etterkontroll – vi gir råd og oppfølging for å sikre optimal tilheling.
De fleste merker rask forbedring, enten det gjelder bevegelse, tannstilling eller amming. Behandlingen koster NOK 3990,-.
Hvorfor velge Tannlegene på Sinsen for behandling av stramt leppebånd?
- Vi har spisskompetanse på leppebåndsproblemer hos både barn og voksne.
- Vi tilbyr trygg og skånsom behandling i rolige omgivelser.
- Vi følger opp med veiledning og kontroll for best mulig resultat.
- Transparante på pris. Behandlingen koster NOK 3990,-
Målet vårt er å gi deg en trygg opplevelse og varig løsning på plager knyttet til stramt leppebånd.
Bestill undersøkelse i dag
Mistenker du at du har et stramt leppebånd? Hos Tannlegene på Sinsen kan du få en grundig vurdering og effektiv behandling. Sørg for å bestille time hos tannlege Nedd, da han er vår mest erfarne tannlege på dette området.
Besøk våre tannleger i Oslo for det siste innen moderne tannbehandling - Eller vår tannlegevakt i Oslo for time på dagen.
Våre mest populære behandlinger















